肺结核,你究竟了解多少?
作者:梁成义 时间:2024-03-10 点击数:
一、结核病---又叫“痨病”,是由结核杆菌引起的一种慢性传染病。结核杆菌可以侵害人体的各种器官,以肺结核多见 ,又称为“肺痨”。侵入不同部位表现不一。

二、结核病的历史---几乎和人类历史一样长
考古学证据表明,结核病至少从新石器时代起就已经开始折磨欧亚大陆和非洲的史前人。早在公元前8000-9000年人类就已经患有了这种疾病。

(埃及的木乃伊脊柱上有结核灶)
三、结核病的现状---全球有1/3的人曾受到结核分枝杆菌的感染。WHO发布《2022年全球结核病报告》显示,2021年全球新发结核病例1060万,致死人数160万,其中我国新发病例78万,在30个结核病高负担国家中,发病数位列第三。结核病仍然是危害人类健康的公共卫生问题,也是我国重点控制的主要疾病之一。

(对于学校,结核病也屡见不鲜)
四、结核病的传播方式---主要通过呼吸道传播,人人都有可能被感染。

五、肺结核的临床症状---咳嗽、咳痰2周以上,应怀疑得了肺结核,要及时就诊。肺结核还会伴有痰中带血、低烧、夜间出汗、午后发热、胸痛、疲乏无力、体重减轻、呼吸困难等症状。
六、检查
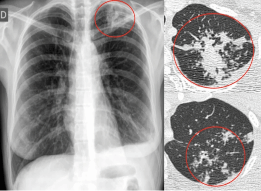
1、放射诊断---DR和CT
在肺结核的诊断中扮演着重要角色,特别是影像学检查如DR和CT检查,是肺结核诊断的关键工具。它们可以帮助医生,发现早期轻微的病变,评估病变的严重程度。放射诊断不仅用于肺结核的诊断,还用于治疗过程中的监测。通过定期的影像学检查,医生可以评估治疗效果,调整治疗方案。

(DR和CT上的结核灶)
2、实验室检查---细菌学检查、分子生物学检查及免疫学检查等。

七、管理
1、肺结核可疑症状者,校医填写《学校肺结核疑似患者转诊单》,嘱其到结防机构确诊。

2、活动性肺结核患者,应尽快开始规范的抗结核治疗和督导服药管理等,患病学生按照相关规定进行休复学/休复课管理。
3、疑似肺结核患者,应先行隔离,待确诊或排除肺结核后再按照相关要求进行后续处理。
八、肺结核患者在日常生活中应注意什么?
结核病虽然可怕,但是可防!可控!可治!肺结核患者应做到生活规律、避免熬夜、注意休息。居家治疗期间,尽量分室居住、经常开窗通风。注意加强膳食营养,多吃肉、蛋、奶等富含蛋白质的食物和蔬菜水果,增强机体抵抗力。注意个人卫生,不要随地吐痰,咳嗽、打喷嚏掩口鼻。要尽量减少外出,必须外出时戴口罩,并注意咳嗽礼仪,不随地吐痰。
